Collaborator: Melanie L.J. Stiassny (AMNH)
Mud eels, family Heterenchelyidae, are a relatively rare and understudied group of fishes. While sorting through a shipment of nearshore fishes from Guinea at the AMNH, curator Melanie Stiassny and I came across two oddly pigmented specimens. One individual had a completely depigmented lateral side that lacked visible eye (Fig. 1). Before the mud eel specimen, these features had only been observed in flatfishes, like founders and soles.

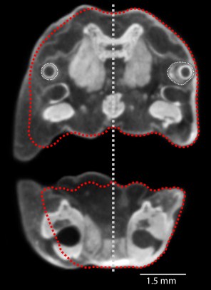
For this research, we documented the unusual morphologies of the Guinean mud eels. The specimens were found within the geographic range of Pythonichthys macrurus and had the similar vertebral counts, a diagnostic feature for species in this genus. As there was no comparative molecular data, we provisionally identified the specimens as Pythonichthys cf. macrurus. In addition to the unique external morphology, the more asymmetrical eel also possessed a skewed jaw, such that the mouth lay flat on the blind side (Fig. 2). The eye on the blind side, while present, was deeply embedded under a thickened layer of flesh (Fig. 3) and was reduced to just the orbit (compared to a full ocular globe on the right side). In combination, the unusual morphological features on the Guinean mud eels appears to suggest that the individuals live at least partially on their lateral sides. Further work will be needed to address the taxonomic uncertainty in these eels and to gather further evidence for potential convergence with flatfishes.


Relevant Publications & Press:
Martinez CM & Stiassny MLJ. 2017. Can and eel be a flatfish? Observations on enigmatic asymmetrical heterenchelyid eels from the Guinea Coast of West Africa. Journal of Fish Biology. 10.1111/jfb.13365.
Research Featured In: New Scientist and Hakai Magazine.